122
一场与时间的赛跑,一次对技术的考验。市三医院高新院区综合内科介入团队身穿15公斤重的铅衣“铠甲”全力以赴投入一台高难度心脏手术,从术前准备到手术顺利完成。团队配合默契、操作精准,成功为患者打通堵塞的血管,赢得了这场“护心战役”的胜利。
迅速响应,紧急救治
“快!通知介入中心,准备冠脉造影!”随着主管医生沈松林及其医护人员脚步的哒哒声,72岁的刘婆婆被推进介入中心。这位有着多年高血压、糖尿病病史的老人,近半月来反复胸痛,到达高新院区胸痛中心,接诊医生询问患者,目前持续胸痛,在询问过程中患者突然出现抽搐,心电监护提示:室颤,紧急除颤后患者意识恢复,心电图提示急性ST段抬高型心肌梗死。
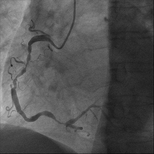
经过胸痛中心绿色通道,综合内科主任蔡国才带领的介入团队通过穿刺右侧桡动脉,将纤细的造影导管送入血管到达冠状动脉开口。屏幕上清晰显示:前降支中段一处99%的狭窄正在“作祟”——这正是导致老人胸痛的“罪魁祸首”。


(左:术前 右:术后)
打通患者“生命线”
经过团队的精准操作,医护配合,迅速将导丝通过狭窄病变,沿着导丝送入球囊导管,从患者进入医院大门到导丝通过仅仅过去32分钟(D-to-W),狭窄的冠状动脉血管被成功扩张,并顺利植入支架,冠脉狭窄血管处的血流瞬间恢复正常。刘婆婆胸痛症状完全缓解,生命体征平稳,手术结束,家属激动地握住医护人员的手,连声道谢。
绵阳市第三人民医院高新院区介入室正式投入使用后,综合内科心血管组积极为患者查因及积极治疗,构建起覆盖冠心病、心律失常、肺血管疾病的全方位介入诊疗体系。这不仅为患者提供了更精准、更高效的医疗服务,也为区域心血管疾病患者赢得了宝贵的“黄金抢救时间”。
专家简介
蔡国才

大内科第一支部书记,心血管内科主任,医学硕士,副主任医师,硕士研究生导师。任四川省起搏与电生理青年委员、四川老年医学会动脉粥样硬化专委会常委、四川康复医学会心血管专委会委员、四川老年医学会心血管专委会委员、绵阳市医学会双心医学主任委员、绵阳市心血管专委会副主任委员、绵阳市中西医结合心血管专委会副主任委员。常见心血管疾病治疗积累丰富经验,尤其老年冠心病合并其他器官疾病,重症心衰方面。擅长复杂冠脉病变、瓣膜疾病、先心介入治疗及起搏器植入,主要研究方向为冠脉介入抗栓治疗临床研究及急性心梗介入术后、心力衰竭的康复治疗。参与编写专著3部,国外SCI期刊及国内核心期刊发表论文多篇,主持省医学会及绵阳市卫计局科研课题多项。
沈松林

中共党员,主治医师,医学硕士,毕业于西南医科大学。2021年在陆军军医大学附属第一医院(西南医院)进修学习结构心脏病介入治疗。擅长结构心脏病介入治疗包括卵圆孔未闭封堵术,房间隔/室间隔封堵术,动脉导管未闭封堵术,左心耳封堵治疗等;擅长冠脉介入治疗(包括双支架、慢性闭塞病变等),心脏起搏植入术(包括单/双腔起搏器、无导线起搏器、ICD、CRTD等)。擅长心力衰竭、冠心病、心律失常、心肌病、高血压等疾病的诊治。
作者:胥红娟
编辑:杜乔乔
审核:邓金林、姜义山、蔡国才
上一篇:冬病夏治正当时!绵阳市三医院2025年“三伏贴”疗法全面预约中
下一篇:一面锦旗传谢意,医患真情暖人心