122

设备助力下一“针”到位,再也不怕腰痛啦~

2024-01-09发布 次浏览 来源:介入诊疗中心

你是否经常感觉腰部疼痛、腿脚麻木胀痛?

这可能是身体在预警:你的腰椎很有可能已经“突出”了。


近日,患者王先生(化名)因不堪忍受长期腰痛来绵阳市三医院就诊,完善相关检查后确诊为“腰椎间盘突出症”,经研判,疼痛科·脊柱外科医生赖显金决定为其实施“神经阻滞术”


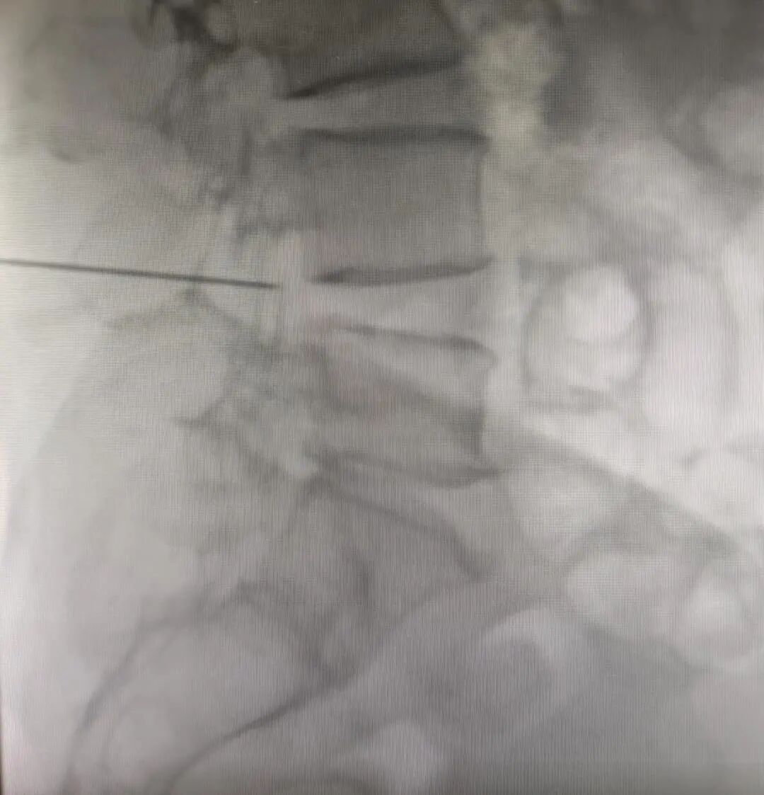
设备助力 穿刺一针到位

治疗在介入诊疗中心的飞利浦FD20透视引导下进行,肉眼不可及的人体内部解剖结构——椎体和周围软组织的形态和结构等,都在X线的引导下一览无余,方便医生更准确看清椎间孔位置。

医生手中操纵的穿刺针也能更加精准地从皮肤进入到达脊神经根部位。在设备助力下,手术医生赖显金一针到位,在神经干、丛、脊神经根旁靶向注入阻滞药物,使所支配的区域产生麻醉作用,起到镇痛效果。

治疗结束后,效果立竿见影,王先生腰部疼痛明显缓解。

作为腰椎间盘突出症的治疗方式之一,神经阻滞术具有创伤小、时间短(全程约30分钟)、出血少、风险低等优势。治疗在局麻下进行,患者疼痛感轻微,全程保持清醒,治疗结束即能下地行走,不影响上班上学。值得注意的是,1-2周内不从事重体力劳动及剧烈运动。


市三医院疼痛科·脊柱外科、介入诊疗中心提醒

疼痛,尤其是反复发作的疼痛,是身体正在受到伤害的一种警告和提示信号。但由于人们对疼痛认识不足,有时选择性的忽视疼痛,最终导致疾病在不知不觉中继续加重。比如,腰椎间盘突出程度加重对椎管内神经更进一步的压迫,严重时还有可能会造成神经损害,出现下肢感觉、运动异常,影响正常生活。


【温馨提示】

如果出现以下几种情况,请尽快就医:

  • 腰腿疼痛反复发作,在卧床休息后,疼痛得到缓解,逐渐消退。

  • 下肢放射疼痛并伴有麻木酸胀感。

  • 脊柱的运动受到限制,屈曲和向后伸展时皆有疼痛和不适感。

  • 坐骨神经钝痛。


治疗疼痛性疾病的神经阻滞术

神经阻滞术是治疗疼痛性疾病的基本手段。一般是将局麻药或者其他阻滞药物,注射到支配疼痛的神经丛、神经干的周围,阻断神经冲动传导,从而起到治疗疼痛类疾病的作用。神经阻滞术的应用范围十分广泛,不仅可以治疗脊神经疼痛,也对其他部位的各种疼痛型疾病有着较好的疗效,如:颈椎痛、面部神经炎、偏头痛、三叉神经痛等等。  

医院配置有先进的DSA设备辅助神经阻滞治疗术,使注射部位能更加接近靶神经丛,穿刺针定位过程更加精准,从而手术疗效更好。当患者保守治疗无效,而疾病又不适合外科手术治疗时,神经阻滞术当之无愧的成为了患者不二的选择。我院介入团队全年24小时待命,为需要救治的患者提供不间断医疗服务,为患者健康提供了一条强劲有力的绿色通道。



★介入诊疗中心业务范围★

■心血管疾病:冠脉造影及冠脉球囊扩张及支架植入术、电生理检查及三维标测术、射频消融术、临时或永久起搏器植入术、ICD、血管内超声、IABP、心房心室造影及测压、先心封堵术;

■神经(内)疾病:全脑血管造影,脑血管血栓抽吸术、取栓术、支架植入术;

■神经(外)疾病:全脑血管造影、脑血管瘤弹簧圈栓塞术、密网支架植入术、脑膜中动脉栓塞术、脑血管动静脉瘘栓塞、海绵窦瘘栓塞术;

■血管疾病:下肢动静脉造影、取栓、下肢动静脉球囊扩张支架植入术、腹主动脉、胸主动脉支架植入术;

■肝胆疾病:肝动脉造影及灌注栓塞术、内镜逆行性胰胆管造影术(ERCP)、内镜下乳头括约肌切开术(EST)、内镜下鼻胆管引流(ENBD);

■呼吸疾病:肺动脉造影、支气管动脉造影及灌注栓塞、右心漂浮导管检查术;

■肾脏疾病:中心静脉造影、cuff导管更换术、人工血管内瘘扩张及取栓

■疼痛疾病:经皮穿刺椎体成形术(PVP)、球囊扩张椎体后凸成形术(PKP)、经皮穿刺取椎体活检术、椎间盘突出臭氧射频消融术、神经阻滞术;

■消化疾病:肠道支架植入术、肝动脉灌注栓塞术、TIPSS。




作者:白京仪、张小彦

编辑:杜乔乔

审核:邓金林、姜义山

上一篇:“一目了然”的病理检查收费单


下一篇:精神大科开展消防培训会